医院简介
医疗团队
项目中心
来院路线
发展历程
法国安卓健公司成立于1947年,已经经历了70多年的风雨历程,是法国较大的品牌种植系统
安卓健2.8/REG/PX
适用临床优势
莫氏锥度连接方式
稳定密封的连接方式 无微动度,无细菌渗漏 利于牙槽骨的保存
统一的修复平台
高效的骨刺激
2.8-严格机械强度测试—— 能够承受500万次测试
REG-0.8mm间距的单螺纹 防创伤的自攻性尖端
PX-颈部倒锥形设计 2mm间距的双螺纹 防创伤的自切割性尖端
平台转移设计
保存生物学宽度 减少牙槽嵴顶骨吸收 从愈合螺丝到修复基台,
保持牙龈形态不变
医用五级钛材质
更高的机械强度 良好的生物相容性 更宽泛的使用范围 应用于
全系金属配件
安卓健适合人群
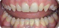
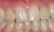
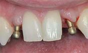
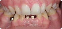
单颗 多颗牙缺失、半全口牙缺失 ,假牙不适者
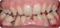
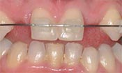
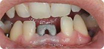
安卓健临床案例分享
安卓健种植产品销往全球100多个国家精密工程CFDA
权威认证,可放心使用。安卓健种植体手术程序简单,
更少创伤,更快恢复,更加安心。
了解更多
Axiom安卓健
康贝佳口腔种植专家团
擅长项目:
即刻种植、种植修复、前牙美学修复、 各种精密附件的制作
在线咨询 >
在线预约 >
擅长项目:
主攻口腔颌面外科,精通齿槽外科修整以及各类复杂的牙齿种植修复
在线咨询 >
在线预约 >
康贝佳国际高标准种植环境
安卓健授牌康贝佳
医疗设备先进
临床经验丰富
术前术后双保障
环境舒适私密
严格医疗体系
首页
拨打电话
预约挂号